Gum Disease

Swollen Gums and How to Stop Bleeding Gums

Lakefront Family Dentistry Fights Gum Disease One Mouth at a Time

Learn How to Receive Stress-Free Gum Disease Treatment

The Centers for Disease Control and Prevention (CDC) recently reported nearly half of all American adults have some form of periodontal (gum) disease. Dr. Mark Phillipe and Dr. Derek Hauser consult daily with patients seeking help for problems related to gum disease. View some photos showing effects of periodontal disease.

Dr. Phillipe recommends, "Anyone desiring an accurate diagnosis of the state of their gums and health of their teeth should call and schedule an appointment." 

This is a patient who came to use with severe plaque build up, gum disease and severely worn dentin (brought on by bruxism - teeth grinding). Without proper care and regular teeth cleaning by Registered Dental Hygienists two times per year, this can build up quickly.

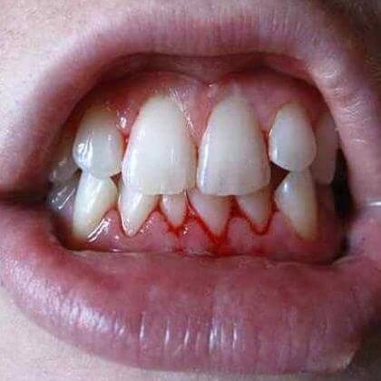
Poor Dental Hygiene Resulting in Severe Plaque Build Up and Gum Disease
Poor Dental Hygiene Resulting in Severe Plaque Build Up and Gum Disease

Call (951) 244-9495 to schedule a consultation to discuss treatment plan options to get your mouth back to an amazing state of great health and happier smile!

Dr. Hauser and Dr. Phillipe are well known across the Inland Empire as caring family dentists who have provided superior care for 30 years. Many families trust their oral care to Lakefront Family Dentistry because we understand what patients want and seek to provide uncompromising quality care. An extremely high emphasis is placed on total patient comfort while in our custom, advanced office using all of the latest dental technology to provide gorgeous smiles that will last years and years.

I almost fell asleep during cleaning-does that tell you how utterly relaxed I was? I used to loathe going to the dentist, now I look forward to it. You have the friendliest staff. I always feel welcome, and of course the dental care is superb. I always tell people about how pleased I am with your service. (No, I am not now, nor have I ever been related to anyone in your office.) - Carol C.

Let’s face it, many have experienced poor (and even traumatizing) dental experiences in the past. Often, people wait until there’s been significant damage before visiting a gum disease dentist. When consulting with our dentists, they will conduct a thorough exam and review their findings with you and help decide the best path forward.

What are Signs of Oral Infection?

Your mouth is the gateway to all things vital – air, food and water. Preventing disease to the mouth is essential for overall health maintenance. A diseased mouth is likely to indicate infection in other parts of the body.

Poor dental hygiene practices lead to a buildup of bacteria and plaque around the teeth. Eventually, plaque will harden and form tartar on surface enamel. This buildup is not removed by brushing alone. Left untreated, the advanced and likely infectious buildup may cause the following symptoms.

  • Red, swollen and/or bleeding gums
  • Persistent bad breath
  • Loose or sensitive teeth
  • Discomfort when chewing

Do You Have Gingivitis or Plaque Build Up? Find Out How
We Can Treat These and Help Restore Your Oral Health Today!

What Gum Disease Treatment Options are Available?

The infectious bacteria buildup to tissue and bone surrounding the teeth is often responsible for the initial discomfort and swelling reported by many people. This early stage of disease is called gingivitis and can often be non-surgically corrected.

However, if no action is taken at this stage, bacteria will continue to invade the mouth, resulting in periodontitis. This is an advanced stage of disease that may require a surgical solution by a specialized gum disease dentist. Lakefront Family Dentistry is specialized in this type of treatment.

Many gingivitis infections can be treated in-house using a deep-cleaning method called scaling and root planing. Dr. Phillipe administers a local anesthetic to ensure a painless experience during the procedure.

Once numb, a highly skilled and very experienced dental hygienist will carefully remove plaque and tartar build-up from tooth enamel and below the surface. The teeth roots are smoothed to help expose and remove infectious, hidden bacteria.

Removing plaque and tartar will help to restore a healthy mouth cavity. Patients are advised to schedule regular check-ups and teeth cleaning at least twice a year. Additional cleanings may be recommended to those at risk for periodontal disease.

View an Actual Patient's New Veneers and Teeth Whitening Results!

CEREC Veneers on Uppers and Lowers
CEREC Veneers on Uppers and Lowers, and Full Mouth Teeth Whitening

After gum disease treatment, it is extremely important to maintain excellent oral health. A home care routine will be discussed and recommended to support the continued success of healthy teeth and mouth tissues.For added convenience, we feature and display several home-care products for added convenience. We are thrilled to be your partner in great oral health care, and proudly recommend proven products known to have high effectiveness.

  • Sonicare Toothbrush: Promotes healthy teeth and gums, and are proven to be five times more effective than manual toothbrushes. There are several models available to choose from, including the new DiamondClean Sonicare model. Our knowledgeable staff will discuss the features of each one and recommend the best Sonicare toothbrush to help keep a healthy, bright smile.
  • Flouride Gel or Toothpaste: We carry prescription strength fluoride gel and toothpaste that is recommended for some patients to help rebuild and strengthen teeth. The products recommended are also very effective for preventing cavities.
  • Professional Teeth Whitening: This service may be recommended for patients who want whiter, brighter teeth. A custom fitted mold is provided and will be used to apply a specially formulated teeth whitening product that will render an amazing transformation in just 2 weeks. Dr. Phillipe will discuss this option if you are a good candidate for this service.

Best dentist office ever!! Great staff, couldn't ask for a nicer group of ladies. Topped off by a genuinely caring Dr.!! Love you guys!!! - Randy D.

gemini-diode-laser-gum-disease-periodontal-treatment-752x1000

The Patient Experience at Lakefront Family Dentistry

Our goal is to prevent disease and infections of the mouth. Great emphasis is placed on preventive care and good oral hygiene habits. Our family friendly staff also knows that focusing on the patient experience is just as important as the actual care given.

The high level of focus on total comfort sets us apart from most dental providers in Riverside County. Dr. Phillipe feels so strongly about promoting proper education to families, he takes time to personally meet with every patient to ensure a quality experience.

Our state-of-the-art facility is beautifully designed to create a relaxing environment intended to make you feel right at home. Dr. Hauser personally picked every piece of dental furniture featured in the exam rooms.

During the dental procedure, you will experience total comfort and will be encouraged to sit back and relax in premium grade, plush dental chairs manufactured by A-dec, whose products are consistently voted “Best in Class” by medical peers across the country.

A-dec 1040 Used in Our Dental Hygiene Rooms
Relax in Our Comfortable A-dec 1040 Chairs in Our Dental Hygiene Rooms

Frequently Asked Questions About Gum Disease Treatment

What are the early signs of gum disease I should watch for?

The most common signs include red, swollen, or bleeding gums, bad breath, gum tenderness, and teeth that feel loose. At Lakefront Family Dentistry, Dr. Mark Phillipe and Dr. Derek Hauser recommend scheduling a professional exam and cleaning at the first sign of irritation. Early gum disease (gingivitis) can often be reversed with proper care.

Can gum disease be cured once it starts?

Yes, when it is caught early. Gingivitis can often be cured with professional cleanings, scaling and root planing, and improved home care. Advanced gum disease (periodontitis) can be controlled through specialized treatment by Dr. Hauser and Dr. Phillipe, preventing bone loss and further damage. Our team creates personalized gum disease treatment plans designed to restore your oral health and confidence.

What causes gum disease, and how can I prevent it?

Gum disease is caused by plaque bacteria that inflame the gums and bone supporting the teeth. Factors such as poor oral hygiene, smoking, genetics, diabetes, and stress can increase your risk. Regular professional teeth cleanings at Lakefront Family Dentistry, along with daily brushing, flossing, and fluoride products, can prevent gum disease from developing or progressing.

What happens if I don’t treat gum disease right away?

Ignoring gum disease can lead to tooth loss, jawbone deterioration, and even links to systemic conditions like heart disease and diabetes. That is why Dr. Mark Phillipe and Dr. Derek Hauser stress early intervention. Our gentle treatments include deep cleaning and laser therapy, which removes bacteria and allows your gums to heal, helping you protect your smile and overall health.

Is gum disease treatment painful?

Not at all. Modern periodontal therapy at Lakefront Family Dentistry is designed to be stress free and comfortable. With local anesthetic, soft tissue lasers, and gentle scaling techniques, patients often say they felt no pain during treatment. Plus, our soothing environment and therapy dogs help make every visit a relaxing experience.

How often should I visit the dentist if I’ve had gum disease?

After gum disease treatment, Dr. Hauser and Dr. Phillipe recommend returning every 3 to 4 months for maintenance cleanings instead of the typical 6 months. These visits help prevent re-infection, keep your gums healthy, and maintain long-term results. Call us to schedule your periodontal maintenance appointment and keep your smile strong for years to come.

family dentist - dentist near me lake elsinore - dr. mark phillipe dds - dr. derek hauser dds

Experience the treatment and high level of customer service given to our valued patients. Call (951) 244-9495 and schedule an appointment to meet with Dr. Phillipe or Dr. Hauser to prevent gum disease damage or make a dentist appointment online with us today!